フォームでのお問い合わせ
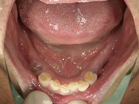
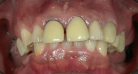
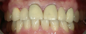
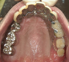
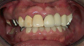
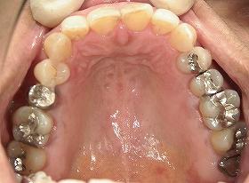
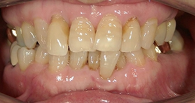
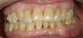
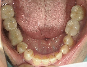
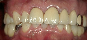
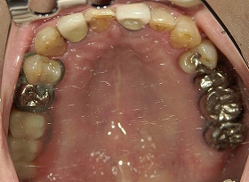
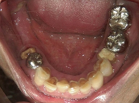
総入れ歯・ブリッジのお悩み、前歯や奥歯1本からのインプラントの費用・治療費・料金・症例、痛くない無痛手術、CT、フラップレス手術などの無料相談は阿倍野区の他、大阪市内全域よりご相談ください。