HOME>症例Blog
症例Blog
インプラント症例 女性60代 八重歯@大阪市
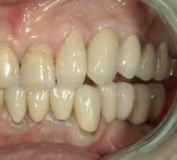
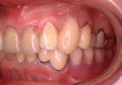
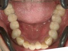
60代の女性の症例です。
右下に2本・左下に2本左上に1本歯が欠損していて、大きな入れ歯を使っておられました。
入れ歯を使うことによって精神的に老化を感じておれれましたが、5本のインプラントを植えることで
咬む機能と美しさを回復することが出来ました。
今は、精神的にも見た目も以前に比べ若返っておられます。
右下に2本・左下に2本左上に1本歯が欠損していて、大きな入れ歯を使っておられました。
入れ歯を使うことによって精神的に老化を感じておれれましたが、5本のインプラントを植えることで
咬む機能と美しさを回復することが出来ました。
今は、精神的にも見た目も以前に比べ若返っておられます。
手術前
手術後
女性のインプラント症例@大阪市
これから、インプラント症例(主に女性の40代・50代・60代の症例)を紹介して行きます。
インプラントをお考えの方に少しでも分かりやすいように心がけながら紹介していきます。
(インターネットは苦手ですので、直接ご相談頂くのが一番ですが、ネットでも皆様にお役立ちできるようにがんばります。)
インプラントをお考えの方に少しでも分かりやすいように心がけながら紹介していきます。
(インターネットは苦手ですので、直接ご相談頂くのが一番ですが、ネットでも皆様にお役立ちできるようにがんばります。)
お問い合わせ
![]()
総入れ歯・ブリッジのお悩み、前歯や奥歯1本からのインプラントの費用・治療費・料金・症例、痛くない無痛手術、CT、フラップレス手術などの無料相談は阿倍野区の他、大阪市内全域よりご相談ください。

